Quarta Fase:
Dopo le registrazioni in Studio i modelli vengono inseriti in articolatore

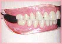
Inizia il montaggio denti, visione parziale e completo, pronto per la prova estetica in Studio.

 

In questo caso una prima classe con montaggio dente a due denti.