Sesta fase:
Le protesi ultimate vengono inserite in cavo orale ed eseguiti i primi controlli con timidi approcci fonetici.
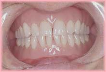
Visione di un caso prima e dopo il trattamento. Questa volta sembra che il nostro lungo viaggio sia finito con la soddisfazione da parte di tutto lo staff.
![]() |
![]() |
|
prima...
|
...
dopo
|